Biopsy Guide

Biopsy Guide

Descargar en App Store
Logo de Biopsy Guide

Guía de Biopsia: Visualización TC de Precisión para Procedimientos Intervencionistas Más Seguros

Aumenta la confianza en el procedimiento y la seguridad del paciente con escaneos TC interactivos de sección transversal. Identifica trayectorias de punción óptimas y navega por anatomía compleja con facilidad en tu iPad o iPhone.

Descargar en App Store

Editor

Skyscraper Software GmbH

Categoría

Medical

Descargas

0

Valoración

1.0/5

Total valoraciones

0

Idiomas

1

Precisión al Alcance de Tu Mano

Descubre la interfaz utilizada por 0 usuarios.

Pantalla de inicio de la aplicación Guía de Biopsia con una ilustración de una aguja de biopsia sobre un fondo azul

Pantalla de inicio de la aplicación Guía de Biopsia con una ilustración de una aguja de biopsia sobre un fondo azul

Sección transversal de escaneo TC con etiquetas anatómicas para la guía del procedimiento de biopsia

Sección transversal de escaneo TC con etiquetas anatómicas para la guía del procedimiento de biopsia

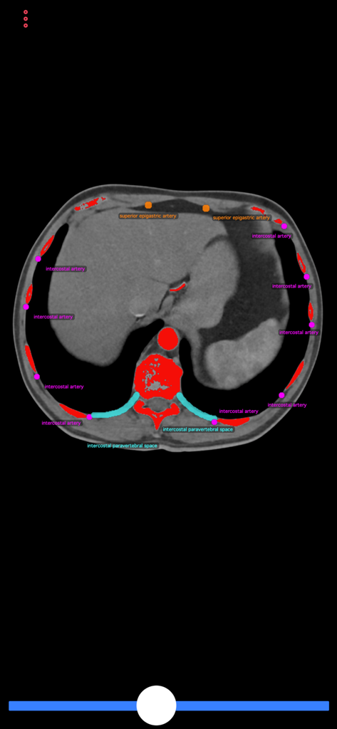
Sección transversal de escaneo TC en la aplicación Guía de Biopsia con estructuras anatómicas etiquetadas como el colon y las arterias

Sección transversal de escaneo TC en la aplicación Guía de Biopsia con estructuras anatómicas etiquetadas como el colon y las arterias

Soporte Intervencionista Guiado con Precisión

Las herramientas que hacen destacar esta app, elegida por 0 usuarios.

🛡️

Identifica Puntos de Referencia Críticos

Minimiza el riesgo del procedimiento visualizando órganos vitales, vasos principales y nervios dentro de secciones transversales detalladas para garantizar una biopsia segura en todo momento.

Flujo de Trabajo Clínico Rápido

Accede instantáneamente a referencias anatómicas de alto rendimiento en el punto de atención, reduciendo la carga cognitiva y ahorrando tiempo durante intervenciones de alta presión.

🔍

Visualización Espacial Táctil

Simula la experiencia PACS en tu iPad con una interfaz desplazable que permite una orientación 3D precisa y una planificación de acceso de punción más precisa.

Sobre la app

Todo lo que necesitas saber sobre Biopsy Guide.

Descripción

Esta aplicación consiste en TC (tomografía computarizada) de cuerpo, que demuestra posibles sitios de punción y estructuras anatómicas a evitar durante las intervenciones. El usuario puede desplazarse por las secciones transversales de la TC para encontrar el acceso de punción ideal. Esta aplicación puede guiar a radiólogos intervencionistas y generales, pero también a médicos de atención primaria o a cualquier médico de diagnóstico para realizar una biopsia segura o la colocación de un catéter de drenaje sin lesionar a los pacientes.

Última versión

1.1.6

Tamaño

149.0 MB

Fecha de lanzamiento

12 oct 2022

Mejora Hoy Tu Precisión Procedural

Únete a otros profesionales médicos para optimizar el acceso de punción y minimizar el riesgo con la referencia móvil definitiva para biopsias guiadas por TC.

Descargar en App Store

App information, icons, screenshots, and descriptions displayed on this page are sourced from the Apple App Store and are the property of their respective developers. Download estimates and rankings are based on MWM's proprietary models and may not reflect actual figures. This page is provided for informational and analytical purposes only.

Believe this page infringes your intellectual property? File a dispute