This page is not an official page of the app or its developer, but an independent editorial publication created for informational and commentary purposes. Unless expressly stated otherwise, neither the app nor its developer is affiliated with, endorsed by, sponsored by, authorized by, or otherwise officially connected with MWM, Apple, Google Play, the app publisher, or the app's developer, and nothing on this page implies that the app was developed using MWM's services. Any trademarks, logos, screenshots, and other content remain the property of their respective owners.
Downloads
750k+User Rating
Total Ratings
1.5KPublisher
Category
MedicalLocales
47Latest Version
11.1.7Size
54.5 MBFirst Released
Apr 29, 2013An analytical overview of functionalities tailored for medical and radiology professionals in training.
Key Features of Xray Anatomy
Real-World Clinical Case Studies
This tool provides real clinical scenarios with annotated X-ray cases and guided diagnostic questions, ideal for exam preparation for FRCR, USMLE, and clinical rotations.
DICOM Image Viewer
The app provides access to authentic DICOM radiographic images across all body regions, including chest, skull, spine, pelvis, and extremities.
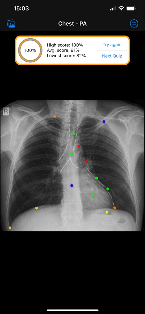
Interactive QuizMe Mode
The app offers interactive anatomy quizzes derived directly from real radiographic images to test and reinforce knowledge effectively.
Standardized Latin Nomenclature
This tool incorporates full Latin and clinical terminology, aligning with international medical standards crucial for professional accuracy.
Comprehensive Anatomical Atlas
It includes a systematic atlas covering plain films and fluoroscopy reference views for all major body regions, serving as a comprehensive learning resource.
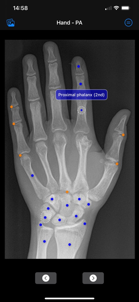
Colour-Coded Anatomical Labelling
It features colour-coded highlighting and labelling for every anatomical structure, promoting efficient visual learning and retention.
Frequently Asked Questions
Everything you need to know about Xray Anatomy
What is Xray Anatomy?
Xray Anatomy is an educational tool designed for Mac, iPhone, and iPad that helps users explore commonly viewed radiographic anatomy. It provides high-resolution X-ray images with color-coded labels and detailed descriptions.
What platforms does Xray Anatomy support?
Xray Anatomy supports Mac, iPhone, and iPad with a single subscription. The app is optimized for desktop and features a clean, responsive interface tailored for both iPhone and iPad.
Does Xray Anatomy include a quiz feature?
Yes, Xray Anatomy includes a QuizMe™ mode to challenge and reinforce anatomical knowledge. This feature, along with all radiographs and search, is unlocked with a yearly subscription.
How does the search function work in Xray Anatomy?
The search function in Xray Anatomy allows users to find specific anatomical structures. For example, searching for "Liver" displays relevant radiographic views like "Abdomen - PA (Erect)" for selection.
What languages does Xray Anatomy support for anatomical nomenclature?
Xray Anatomy offers multilingual support for its anatomical nomenclature, including English, Spanish, and Chinese. Users can select their preferred language within the app's User Settings.
Does Xray Anatomy provide detailed descriptions for X-ray images?
Yes, Xray Anatomy provides detailed descriptions for every radiograph included. These descriptions offer useful information for evaluation and radiographic analysis.
Is Xray Anatomy a subscription-based app?
Yes, Xray Anatomy operates on a yearly subscription model. This subscription unlocks all radiographs, the Quiz Mode, and the Search feature across all supported platforms.
How do I manage my Xray Anatomy subscription?
Users manage their Xray Anatomy subscription and auto-renewal settings via their iTunes Account Settings after purchase. Account renewal payments are processed within 24 hours before the current period ends.
Where can I find the privacy policy for Xray Anatomy?
The privacy policy for Xray Anatomy is available through the link provided in the app description: www.mediware.cy/privacy. This document details how user data is handled.
Does Xray Anatomy allow analytics tracking?
Yes, Xray Anatomy allows analytics tracking by default to help identify issues through anonymous reports. Users can disable this option in the app's User Settings menu.
More Like This
Apps with similar features and user experience
IDV - IMAIOS DICOM Viewer
IMAIOS
DiagnosUs
CENTAUR DIAGNOSTICS INC
丁震医学教育
Beijing Dingding Yihe Technology Company Limited
Medical Findings
Eleanor Quijano
RX - Radiographic Positioning
Fabricio Tarter
Dental Hygiene Mastery - NBDHE
Higher Learning Technologies, Inc.
CT Anatomy
MEDIWARE CY LTD
Memorix Anatomy and Histology
MEMORIX s.r.o.
Netters Anatomy Flash Cards
Skyscape Medpresso Inc
This page is not an official page of the app or its developer, but an independent editorial publication created for informational and commentary purposes. Unless expressly stated otherwise, neither the app nor its developer is affiliated with, endorsed by, sponsored by, authorized by, or otherwise officially connected with MWM, Apple, Google Play, the app publisher, or the app's developer, and nothing on this page implies that the app was developed using MWM's services. Any trademarks, logos, screenshots, and other content remain the property of their respective owners.






